若林デンタルクリニックでホワイトニングをおすすめする理由として、単に見た目をキレイにするだけではなく、ホワイトニングをする事によって、毎日お口をチェックする習慣ができ、口に関心をもつ事ができるからです。
結果的にプラークコントロールも良好になり、むし歯や歯周病の予防にもつながります。
みなさんにも是非おすすめ致します 。
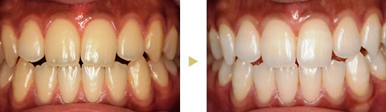
ホワイトニング
ホワイトニングは長い間取りきれなかった汚れが、歯の色そのものを変色させてしまい、 クリーニングをしてもくすんだ状態の方や、歯の黄ばみが気になって口をあけることがコンプレックスになってしまっている方、先天的に歯の色が黄色っぽい、茶色っぽいなどの悩みを抱え、 ご自身の元々の歯の色よりも白くしたいという方にはお勧めの治療です。

ホワイトニングには2種類の方法があります。
ひとつはホワイトニングの全行程を、クリニックで行なうオフィスホワイトニング。
もうひとつが、ホワイトニング用の薬剤と歯に装着するトレーをご自宅に持ち帰って行うホームホワイトニングです。
オフィスホワイトニング
薬剤が歯ぐきに触れないようプロテクト剤を塗り、その後、ホワイトニング剤を歯に塗って光をあてて漂白をします。ご自身で薬剤を扱う必要がなく、歯科医院専用の信頼できるホワイトニング剤を使用し、専門職によって効果的にホワイトニングすることができます。
ホームホワイトニング
クリニックで歯型をとって作ったトレーを自宅に持ち帰り、トレーにホワイトニングの薬剤をぬって、日中数時間、または夜寝ている間に、約1~2ヶ月間装着します。
患者さんが扱いやすいよう薬剤はマイルド。
オフィスホワイトニングと比べるとゆるやかに効いていくので、効果を実感するには少し時間がかかります。